ソニッケアー ダイヤモンドクリーンおよび
センシティブブラシの応用

1 はじめに
今秋、リニューアルされたソニッケアーが誕生しました。ソニッケアーのリニューアルはこれで6回目ですが、リニューアルされるたびに機能がレベルアップされ、これほど進化し続ける電動歯ブラシも他に類を見ないのではないでしょうか。この度の新生ソニッケアーは、豊富なブラッシングモード、洗練された本体デザインが魅力的ですが、なんといっても特記すべきなのはブラシの種類が増えたことでしょう。それにより、従来よりもソニッケアーが効果的なケース、ソニッケアーを使った方が有効なケースが大幅に拡大すると考えます。本I頁では、ケースに応じて効果的なブラシを選択する実例をご紹介します。

左からソニッケアーダイヤモンドクリーン、ダイヤモンドクリーンスタンダードブラシヘッド、
ダイヤモンドクリーンミニブラシヘッド、センシティブスタンダードブラシヘッド
|

豊富なブラッシングモード。 |
2 ミュータンス菌レベルが高いプラーク除去に「ダイヤモンドクリーンブラシ」
ミュータンス菌は、非水溶性の非常に強固なプラークを生産します。歯面にベッタリと付着する落としにくいプラークには、ダイヤモンドクリーンブラシがお勧めです。従来のプロリザルツブラシと比較し44%(ミニブラシでは23%)ブラシ毛が増量、密集した毛先が歯面にアプローチ、まさに「歯面をターゲッ卜にした」ブラシといえるでしょう。落としにくいプラークを相手に毎日のブラッシングに悪戦苦闘する患者さんには、朗報ともいえるパワフルブラシです。

図3 培養チップ上のミュータンス菌コロニー |

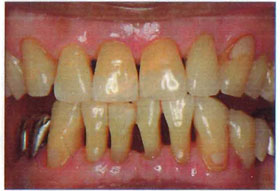
図4 ミュータンス菌レベルが高い患者さん。精一杯の努力をうかがえるが、落としきれないプラークが認められる。 |
図5 ダイヤモンドクリーンは、手みがきの最大4倍の
プラーク除去効果があると報告されている。
3 酸蝕症や咬耗などのデリケートな歯面に「センシティブブラシ」
酸蝕症とは、酸の作用によってエナメル質が脱灰される現象です。細菌が関与しない点でう蝕とは区別されます。原因は様々ですが、診療室で聞き取りを行うと食生活に問題が多く見受けられます。対策としては食生活指導などの患者教育が主ですが、プラークコントロールに関しては、エナメル質に負担がかからず、かつ適切にプラークを除去することが重要です。細菌が関与しない工ナメル質の実質欠損は酸蝕以外にも咬耗や摩耗が挙げられますが、それらも基本的な対策をとりつつ、パーフェクトなプラークコントロールを目指します。センシティブブラシはソフト毛で歯面にも優しく、しかし手磨きより54%多くプラークを除去するという秀逸なブラシで、エナメル質に負担をかけずに質の高いプラークコントロールを可能にします。歯根露出した患者さんにもおすすめです。
4 ブラシでは難しい部位に活躍「エアーフロス」
歯周外科治療を含む歯周治療を終えてメインテナンスに移行したとき、歯肉の形態に困ったことはないでしょうか。ブラシがどうしても行き届かないときには視点をかえて、別のツールにトライするのも一考だと思います。

図12 ソニッケアーエアフロス。 |

図14 左下歯周外科治療後。歯肉形態の変化がプラークコントロールを困難にする場合がある。 |

図13 隣接面プラ一クが手用歯ブラシのみと比較して
最大99%多く除去できると実証されている。
ソニッケアー ダイヤモンドクリーンの活用
歯周病患者のホームケア
-インプラント治療後のソニッケアーセンシティブブラシの活用-
2013年6月10日
申基哲 教授・石井麻紀子 教授/明海大 歯学部 口腔生物再生医工学講座 歯周病学分野)
歯周病患者のブラッシングの難しさ
歯周病は30歳以上の成人の約80%が罹患しているとされており、歯の喪失原因の第1位となっていることは周知の通りでしょう。それでも患者の多くは、自分が歯周病に罹患しているという自覚が無く、自分自身の問題として捉えられていないのが現実ではないでしょうか。
しかし最近では、マスメディアでの歯周病特集や歯周病が全身の健康に影響するという研究が数多く報告されるようになり、歯の喪失を防ぐということだけでなく、全身の健康管理という観点からも歯周治療の重要性が再認識されてきています。
プラークコントロールは歯周病予防と治療の大原則ですが、最も難しい部分であるとも言えます。
患者が行う通常の手用歯ブラシによるブラッシングでは、歯冠部だけが磨けていて歯頸部や隣接部が磨けていない場合を大変多く見かけます。
また、歯周病で大切な歯頸部のブラッシング指導を行うと、上手く毛先が当たらなかったり、強いブラッシング圧による歯肉退縮やくさび状欠損を引き起こすなど、歯科医師や歯科衛生士は治療途中で悩むこともしばしばです。
重度に進行した歯周病では歯の欠損も多く見られ、ブリッジや有床義歯による補綴処置が行われている場合、ポンティック基底部や鉤歯の遠心面など、プラークコントロールを難しくする条件が口腔内に多数存在しています。
さらに、歯槽骨吸収により骨レベルが低下していることから、インプラン卜を含めた歯冠修復物の歯冠長は必然的に長くならざるを得ません。
そのため、補綴物の歯頸部がより根尖方向となり、患者自身によるブラッシングは非常に困難となります。さらに角化歯肉の減少や口腔前庭の狭小など、ブラッシングを困難にしたり、歯ブラシの毛先を当てにくくする条件は歯周病が進行した患者ほど多く見られるのが現状です(図3・4)。




確実で組織にやさしいプラーク除去センシティブブラシの活用
このように、歯周病患者の口腔内には、ブラッシングを困難にする条件が多く存在するなかで、患者個々の手先の器用さ、ブラッシング圧の差を考慮しながらプラークをいかに確実に除去してもらうかを考えた場合、私達が推奨しているのがソニッケアーによるプラークコントロールです。
特に高齢者では手の動きの円滑さに欠け、視力も低下している方が多く、ブラッシングはさらに難しくなりますので、ソニッケアーの「適所に当てるだけ」という簡便さと高いプラーク除去効果は、術者にとってもブラッシングを指導するうえでの利点となります。
そのため歯周外科処置やインプラン卜治療を行っている時期、メインテナンス期など、あらゆる時期に使用できるセンシティブブラシを活用しています( 図5〜7)。


ソニッケアーの歯ブラシの中で最も柔らかく、ソフトタッチで磨けるので、私達は外科処置後で上皮化の不完全な歯肉が敏感となっている部分にもセンシティブブラシによるブラッシング法を勧めています。
ソフトタッチであるという特徴は、知覚過敏症状のある患者や角化歯肉が喪失し、周囲が可動粘膜で固まれている部分にも応用可能で、患者は痛みを感じることなくブラッシングができ「歯肉がマッサージされているようで気持ちが良い」との感覚を持ちながら使用しているようです( 図8〜1 0)。

歯冠長が長いクラウン、インプラン卜の上部構造が存在する部分では、歯頸部のブラッシングを意識するあまり粘膜を傷つけたり、歯冠形態によっては歯頸部が磨けない場合も多く、このような場合には、センシティブブラシのドーム型ブラシ表面を歯冠にフィッ卜するように置いてもらい、手用歯ブラシよりも短い時間で的確にプラークを除去することができます。高齢化がますます進む日本において、専門機関による歯周病ケアと家庭でのホームケアの果たす役割は大きく、メインテナンスによる健康な口腔環境を維持する上でプラークコントロールは大変重要となります。
「適所に当てるだけ」で、確実にプラーク除去できるというメリッ卜を活かし、口腔・全身の健康の維持のためにも、メインテナンスや口腔ケアに有効なソニッケアーの活用を推奨しています。
|